Testimonials
A testimonial from a Myobrace mom:
“Our 10-year-old son started wearing Myobrace Stage I in December 2018. He had been suffering from nasal congestion, seasonal allergies and mouth breathing. Due to the latter, his lower jaw was somewhat underdeveloped, and he had a rather visible underbite. Dr. Roca suggested Myobrace as a way of learning proper nose breathing. We agreed to try it without too many expectations. After just a month of Myobrace wearing at night and an hour a day and a few breathing exercises, our son’s underbite was gone, his forever stuffy nose cleared, and he learned how breathe using his mouth. We were convinced we wanted to continue with Myobrace. We are now on Stage II, which is a bit harder structure. Our son gets better night’s sleep and seems a lot calmer. Thank you, Dr. Roca, for introducing Myobrace to our family!”—Anastasiya K.



We find that many patients have already developed a malocclusion by 3 years old and can tremendously benefit from an early interceptive orthodontic treatment using myofunctional oral appliances, like Myobrace® and Healthy Start™. We know the child will not need to wear retainers for life because their expansion will not collapse if it is completed before the age of 7. Therefore, we strive to get children into interceptive treatment while their jaws are still developing — ideally before the age of 6. Though the American Association of Orthodontists® generally recommends starting orthodontics at the age of 7, Dr. Roca feels the sooner we get a head start in correcting any oral habits that are creating the child’s malocclusion, the better the chance we can avoid future orthodontic treatment.
Myobrace and Healthy Start therapies are based on correcting the poor oral habits and patterns that are associated with poor jaw development and incorrect positioning of teeth. In this video below, orthodontist Dr. Barry Raphael offers a summary of the rationale for this approach.
In addition, it used to be quite common for treatment with braces or Invisalign to be delayed until all the permanent teeth are present, usually around the age of 11 to 14 years. At this time, 90% of jaw growth has been completed, and the window to intervene with poor habits to change a child’s trajectory of growth has been missed. On some occasions, other offices may recommend extractions of teeth to alleviate crowding and allow alignment of teeth. However, at Arlington Smile Center, we would never extract teeth to relieve crowding. Instead, we would make more room toward the front of the mouth. Patients who are retracted as children are normally suffering from severe apnea as adults, and we often end up reversing the retracted cases and making room for new teeth.
Growing evidence links poor jaw development (narrow palates and recessed lower jaws) to poorer airways and the development of snoring and obstructive sleep apnea. Based on the increased health risks associated with these problems, it can be a very rational option to optimize jaw development much earlier in life.
Myobrace and Healthy Start are worn for one to two hours every day, as well as overnight during sleep. The appliance teaches the child to breathe through the nose, rest the tongue in the correct position, swallow correctly, and keep their lips together. Since Dr. Roca is a certified oral myologist, she incorporates oral myology into each Myobrace and Healthy Start visit.
- Corrects poor oral habits
- Develops and aligns the jaws
- Straightens the teeth
- Optimizes facial development
- Improves overall health
- Promotes healthy eating habits
- Myochew Ages 2-8 when needed
- Myobrace Ages 3-6
- Myobrace Ages 6-10
- Myobrace Ages 10-15
- Ages 15 through Adulthood
- Myobrace for Class III Skeletal Bite
- Myobrace for braces or over Invisalign®
Learn more about Healthy Start at https:/www.thehealthystart.com
Children are born with the potential to develop jaws that can accommodate all 32 teeth. The exception would be those children born with a congenital syndrome or genetic disorder. We now know that the way the tongue rests and moves has a powerful influence on the development of the upper jaw. This is affected by a child’s oral habits and muscle functions, and whether they have a correct or incorrect breathing pathway. This will, in turn, affect how their genes and jaw development are expressed.
An example of correcting a crossbite early: A patient of ours started at 5 years-old. She always had her mouth open, always slept horribly and never fully rested. She developed a crossbite from her open mouth posture and her incorrect swallow and tongue tie.

Start stage I Myobrace. 12/3/2018

Only one month later. With stage I Myobrace worn 1 hour a day and all night, her cross bite is almost corrected. 1/27/19

Nine months of Myobrace. First two permanent teeth erupting into the correct position and crossbite. 10/24/19

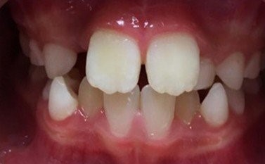
1) Day one of Myobrace. Her two central lower adult teeth have erupted crooked and, as you can see, there is not room for the other adult teeth that need to grow in once the baby teeth fall out.

1) Day one of starting Myobrace. She had a very deep bite, and we could not see her lower teeth. The midline is off center with her nose, and there was no room for permanent teeth to erupt because the space was too narrow.

2) One month after starting Myobrace. Notice how her midline is centered, her deep bite is gone and there is now room for some lower anterior teeth to erupt straight.

3) After four months of Myobrace. Even more room for permanent teeth.

4) After seven months of Myobrace, she has plenty of room for new erupting teeth.

5) One year after starting Myobrace.
The Myobrace was worn only one hour a day and all night, allowing her to avoid the need for braces completely so far. There is no need for an expander. What’s amazing is that it was all natural! We are teaching the patient the proper tongue posture and the proper lip seal and swallow. She is on her way to a life of healthy teeth that will not suffer and no orthodontic relapse.







Before

Three months later.

Before

Three months later.
Early Treatment is critical. Nine out of 10 kids have sleep-disordered breathing!
What is sleep-disordered breathing?
Sleep-disordered breathing (SDB) in children is a much more critical and common problem than previously thought. SDB can manifest itself in a variety of symptoms that can be easily overlooked, misdiagnosed and, most unfortunately, left untreated. Over 20 years of research ties sleep-disordered breathing to crooked and crowded teeth, arrested growth and development, and behavioral challenges that can have a similar appearance to ADD/ADHD and even bed-wetting. The symptoms associated with SDB can vary from one child to the next, but even mild SDB (mouth breathing, crowded teeth, snoring) can point to serious underlying health issues and the need for treatment.
How can I tell if my child has sleep-disordered breathing?
Does it ever sound like a freight train is running through your child’s room at night or as they lie asleep in back seat on the way home from a trip? Loud snoring is one very apparent indication that your child may have sleep-disordered breathing. Gasping and snorting sounds while your child sleeps may catch you off guard or even make you momentarily worry. These sounds stem from your child moving from a deeper sleep to a lighter sleep (towards waking up) and struggling to breathe.
Does your child exhibit any of these symptoms?



Arlington Smile Center works hard to get healthier, happier kids who can breathe. Rarely has there ever been a single appliance or system with the power to impact your child’s health in so many positive ways. As parents, we need to give our kids every chance to succeed. Contact us today for more information on how Dr. Roca can help your child achieve their full potential.
Conventional Treatment Options
Before now, treatment options such as prescription drugs, surgery, clinical therapy, academic tutors, sleeping and years in braces have been the most commonly prescribed “solutions.” None of these conventional treatments can promote or develop a child’s airway and help them get the oxygen and sleep they need to be healthy. Therefore, conventional treatments have been limited and ineffective, mainly because they address the symptoms rather than the potential root cause.
Watch these videos to learn more.
One problem we have found is that some people undergoing orthodontic treatment have not been concurrently addressing the accompanying myofunctional and postural patterns. The end result is a bite that may be “straight and aligned” but the rest of the body is not. The bite and the body “mismatched” creating stress and strain with a life time of neck and body pain.
It is important that you recognize that the way our teeth touch and create specific chewing patterns that induce muscle hyperactivity in the orofacial region, of the plantar flexors of the foot and of the cervical muscles. These same muscles indirectly and directly regulate breathing patterns and compensation necessary for unilateral postural dominance. If we see asymmetry in the face that we can’t easily release with treatment or we see difficulty getting the diaphragm fully engaged, we will need to refer you out to collaborate with other postural, respiratory or physical therapists that understand the connection between mouth and body. Remember, form follows function.
The body’s is designed with a natural asymmetry of the internal organs. This asymmetry is intended to compensate for bilateral symmetrical activities such as walking, but the result is that each person will adapt to their posture in response to this asymmetry. Some will slouch forward, others become hyper-erect and others may favor one side over the other. Problems only occur when a person cannot leave this pattern of posture and become “locked” into whichever posture they initially preferred. This “locked” body position leads to a loss of many references for healthy function.
Through coaching and specifically targeted exercises patients can gradually begin using muscles they have not previously used in postural support, and over time posture issues can be corrected until the patient no longer needs to use these targeted exercises.
Depending on how strong the unhealthy postural pattern is engrained and how committed the patient is to the home program prescribed, Integrative Postural Therapy can be absolutely life-changing. Please see the videos’ reference to a physical therapy specific program on breathing and posture that we regularly work with during your treatment for the best results.
Although Myobrace® seems like a simple piece of silicone, it is actually quite sophisticated and REALLY moves teeth. Dr. Roca and her staff had their first 3-day training with Myobrace in 2018, followed by two more 3 day advanced training long weekends at the Myobrace center in New Jersey. Dr. Roca also attended a 5-day Myobrace summit in 2020 in the Netherlands and learned alongside many fellow dentists all over the world. Learning Myobrace treatment has changed the way we practice at Arlington Smile Center. We look at everything with a new pair of eyes. It has opened our eyes to so many compensations that patients make when they do not t swallow correctly or have the proper tongue function. They were shocked how much Myobrace could correct malocclusion, improve the direction of skeletal growth and eliminate TMJ pain. The quickest benefit they have noticed is the immediate improvement in deep sleep and how much better the patients feel when they wake up and headaches disappear. Arlington Smile Center has different appliances for all ages from age 2 to adults. Dr. Roca frequently uses it instead of braces.
When Dr. Roca sees a patient she look to their teeth to tell her a story, ask lots of questions and listens to their symptoms and concerns. Many adults have had braces before which makes it so much harder to figure out where they started before orthodontic treatment. Often Dr. Roca ask the patients to bring in baby and middle schools photos so she can see when the changes took place or where they were headed in their skeletal growth before the braces. She also likes to see videos of the patient sleeping so she can hear their breathing and look at their sleeping position. For example, if a patient sleeps with their hands behind their head they are opening their airway to make breathing easier. This is just one of many compensations to help their breathing and which Dr. Roca uses as clues to detect problems with overall health and malocclusion.
Before dispensing a myobrace, we do postural testing to determine if the body positively responds to the Myobrace and if they are a candidate. We take photos of the posture, profile, face, smile, and bite with lip spreaders, the cant (standing with tongue depressor between molars), upper arch, lower arch and tongue position.
https://myoresearch.com/en-au/appliances/arch-development/myolay
Call for a consultation at 703-237-7622 to determine if your child is a candidate for any of our orthodontic options.