At Arlington Smile Center we often see asymmetrical or uneven face presentations that commonly appear. We have found that Homeoblock helps correct these concerns along with Myofunctional Therapy, however, please note that these appliances are dental expansion, not skeletal expansion.
- Uneven Smile: Often people will come in to correct their gummy smile. This is where the smile reveals more gum than the person is happy with. Sometimes this is uneven and there is more gum visible on one side versus the other. Often, we just need to teach you how to get your lips stronger by different exercises so that the lip pulls down easier covering more gum.
- Uneven cheeks on one side versus the other: Often, patients tell us that on one side of the face there is more fat loss than on the other side and it is even. This is not so much fat loss but bone loss because of chewing food mostly on one side of the jaw, an uneven bite or locked cranial sutures.
- More lines on one side than the other after BOTOX® treatment: Sometimes, volume loss (loss of fat) results in uneven lines. The face has more lines on one side than the other as a result of the tissues being a little thinner on that side. The treatment for such asymmetry is to add filler to correct the difference between the two sides. We do not use BOTOX. We do this naturally by making the muscle stronger and correcting habits.
- Uneven Eyes, ears and shoulders Often patients have torsion due to a locked bite because their temporal bones are not moving when they walk. If we find you are a good candidate for Homeoblock, it will help unlock your body to help correct torsion.

The Homeoblock appliance is a revolutionary oral device that is much like a retainer in appearance, but that has results which go way beyond teeth straightening. Utilizing the natural forces of the tongue when we swallow, this custom designed appliance stimulates natural growth of jaws and the face, resulting in improved esthetics and overall health.
Dr. Roca first met Ted Belfor In 2018. He introduced her to a revolutionary idea: the concept that a dentist can play an important role in facial anti-aging and airway development. Dr. Belfor had developed a special oral appliance that stimulated growth in the jaws and airway. Dr. Roca has been using the appliance which functions as the best of all possible orthodontic retainers. Dr. Belfor taught Dr. Roca one-on-one about the comprehensive patient evaluation program he developed that emphasizes the need to collaborate with other health practitioners to provide the best results for the patient. Dr. Belfor showed Dr. Roca a new world of treating dysautonomia by calming the autonomic nervous system, Facial Anti-Aging, toning the tongue, improving sleep and breathing disorders, reducing nighttime arousals and treating upper airway resistance syndrome (UARS).
As Dr. Belfor has pointed out, “It’s the 21st century, and jaws and faces are steadily getting smaller, resulting in a rising tide of breathing and sleep disorders. Poor swallowing habits combine with decreasing room for the tongue to exacerbate these concerns. The dental industry must come together to zero in on the cause of these issues to bring proper care and restful sleep to our patients. “ Dr. Belfor has worked to develop a comprehensive patient evaluation program that emphasizes the need to collaborate with other health practitioners in order to achieve the best results for each patient we treat.
Dr. Roca is very thankful and proud of the one-on-one training she received from Dr Theodore Belfor, DDS to learn his comprehensive patient evaluation of face and airway development with cone beam 3D X-ray (CBCT) using the Homeoblock and Pod Appliances.
The Homeoblock appliance works with the body, so that physiological changes occur naturally, developing the bones of the face and resulting in the strengthening of facial muscles. These changes occur due to each person’s genetic potential. Often, facial development does not reach its potential due to the soft food in our modern diet, nasal congestion from polluted air, and poor oral posture, to name a few. When the upper jaw is not properly developed, the upper airway is restricted, bringing a greater risk of poor head, neck and shoulder posture, sleep apnea, TMJ issues, and many chronic illnesses that develop from inadequate restorative sleep. Dr. Roca sees a common denominator when treating TMJ and Sleep Apnea patients. Many of them lack the proper maxillary arch development needed to allow for proper upper airway development and room for the tongue. The Homeoblock appliance can help stimulate the development of both arches while wearing the appliance only at night. Homeoblock generates gene expression because it is worn at night, when circadian rhythms aid in the release of growth hormone, which normally happens between 3 pm to 8 am. Patients pick the time to wear their appliance, only during this time and no more than 12 hours total.
A reminder to please bear in mind that Arlington Smile Center, LLC requires that you are under the care of an osteopath or physical therapist knowledgeable about cranial sutures and strain. This is crucial to maintaining the flexibility of your cranial strains and keeping your body in a neutral state. Homeoblock/pod use at our office requires co treats with a physical therapist that come to our office for co treats 4 days a month.
It’s important to note that adjustments throughout the treatment process are entirely contingent on the body’s response. Patients might go for extended periods without requiring an adjustment because the appliance continues to work simply by being in the mouth. The need for an adjustment becomes apparent when your body and breathing no longer show improvement with the appliance in your mouth. The appliance should enhance breathing when worn; if breathing doesn’t improve, it indicates a need for adjustment.
Expansion occurs based on the body’s allowance. If you experience improved breathing and a sense of looseness in your neck while wearing the appliance, it indicates the need for expansion or adjustment. Conversely, if you expand and feel worse, it’s necessary to reverse the expansion and promptly seek an adjustment.
Please note that the Homeoblock is actively working, even without active expansion. Immediate relief may not be expected, considering the time it took for your cranial sutures to lock. We are metaphorically peeling layers like an onion. It’s crucial to understand that your body tends to adhere to familiar patterns, and we are introducing it to a new one. The idea is that the appliance provides support for your body to learn, trust, and strengthen your weaker side, which may have been dormant for years due to the inclination towards a familiar pattern. Following the physical therapist’s exercise protocol is of utmost importance. The appliance serves as your ticket to the parking lot, while the exercises provided by the physical therapist act as the guide into the parking spot. While improvements in posture and facial symmetry may be noticed, they are not guaranteed and it is not our focus. Our focus is and always has been your sleep, breathing and health.
We strongly recommend waiting to turn the appliance in our office to ensure proper alignment. However, if you feel the need to turn it yourself, please ensure it’s in the correct direction following the yellow arrows. Do not advance it more than one turn without consulting our office. For appliances with three arrows (one screw in the back and two in the front), consider taking a photo before turning to remember the original position. Eyes and memory can be deceiving. Turning the screw creates a new hole; if the adjustment doesn’t help, you can turn it backward. A photo aids in remembering whether it was a half or full turn. The Homeoblock should feel tighter but not uncomfortably so; it’s preferable to err on the side of being loose and comfortable rather than overly tight. Avoid turning both front and back screws simultaneously, as it can be confusing to assess its effectiveness without our guidance. The POD will not move your teeth at all since it does not have screws, acts more like a retainer.
It’s not uncommon for patients to express a desire to continue using the appliance even after the formal treatment has concluded. This may occur when patients move away or when the prepaid treatment duration has ended, and additional care payments are not sought. In such instances, it is crucial to highlight the importance that we do not recommend expanding the homeoblock at all once you stop coming for your regular scheduled visits. While we would be happy to continue monitoring your progress during dental check-ups every six months or at paid visits after the pre-paid visits are over, it is strongly recommended that you establish ongoing care with a local dentist if you are no longer attending regular appointments in our office. This ensures that your oral health is consistently supervised.
MARPE VS HOMEOBLOCK/POD Which do I choose?
Dr. Roca is often asked about the differences between MARPE and Homeoblock, and it ultimately comes down to the patient’s treatment goals. These treatments serve different purposes and are suitable for different goals.
If during your consultation with Dr. Roca, you determine that nasal breathing is your primary goal, MARPE is the recommended option. The skeletal expansion achieved with MARPE cannot be accomplished with Homeoblock. MARPE involves the skeletal expansion of your palate, which in turn provides skeletal expansion of your nose, increasing the space for air to pass through.
On the other hand, Homeoblock improves the pathway of air through your nose by making it smoother, but it does not increase the space for air to pass. Homeoblock does not open your suture but can create more room for your tongue through dental expansion, provided your body allows for this expansion.
Five goals of jaw orthopedics
- Face, smile, bite, jaw function and long term stability
Four goals for health:
- Pressurize the airway — breathing through nose 24/7.
- Tongue network — position of tongue affects body down to the feet.
- Toning the airway — AAO cause of sleep apnea is collapsibility of the airway.
- The airway is a muscular tube.
- Autonomic nervous system —Control over body temperature and heart rate improves just by learning the correct way to breathe.
The Homeoblock

The Homeoblock appliance is a revolutionary patented oral device that is much like a retainer in appearance, but that has results which go way beyond teeth straightening. The Homeoblock:
- Generates a size and shape change in the maxilla and mandible.
- Stimulates the cranial sutures for new bone growth and sutural homeostasis.
- Signals the periodontal ligament and generates an epigenetic response for maxillary growth and facial symmetry.
- Creates space for teeth straightening.
- Promotes proper swallowing and proper tongue posture.
- Tones the pharyngeal airway and reduces inflammation.
- Opens the ostia to allow the nitric oxide to reach the back of the nose.
- Discludes the mandible and allows the jaw to come downward and forward.
- We have seen it balance the autonomic nervous system in our dysautonomia patients.
The POD®
The POD:
- Is custom-made for you for a precise fit.
- Is made from high quality, biocompatible materials, with a one year warranty.
- Allows full range of mouth movement — you can open and close your mouth, as well as talk, drink water and yawn while wearing the splint.




The Homeoblock protocol was developed by Dr. Theodore Belfor to treat facial aging and improve breathing. It works by signaling the body to express genes that have not been expressed before. This is known as the science of epigenetics, which has been understood for the past 15 years.

The Homeoblock appliance provides the necessary signaling to the body by replacing the missing hard food in our diet and generating proper swallowing and tongue posture. Proper swallowing and tongue posture can improve our breathing.




The Homeoblock appliance works by sending cyclical intermittent light force to the periodontal ligament around the tooth roots and to the bone. This provides the necessary stimulation to the underlying bone to generate new bone growth and initiate bone positional changes. Additionally, it exercises the muscles under your tongue responsible for keeping the airway open. Over time, this appliance has been shown to:
- Remodel the upper jaw by making it wider through slow dental expansion when the body allows.
- Change the size and shape of the maxilla and mandible. This is done because the block helps move the cranial bones which moves the palate.
- Improve facial symmetry.
- Create space to straighten the teeth.
- Promote proper swallowing and tongue posture.
- Tone pharyngeal airway and reduce inflammation.
- Improve breathing.
- Decrease jaw joint discomfort by taking pressure off the joints.
The time and duration of treatment depends a good deal on the patients’ personal compliance. If they are consistent and wear the appliance every night, all night long, and for four waking hours each day, they will get the best and fastest possible results.


The Homeoblock appliance must be expanded at a rate the body accepts. We only allow patients to expand while in our office with the physical therapist present for a co-treat. It is imperative the upper jaw is accepting the expansion or the body will get locked up and the teeth there start tipping. Often we can not expand the appliance on each visit because the body is not ready, so we adjust the block to keep the cranial bones moving in the correct direction.


The Homeoblock appliance is expanding to keep up with the changes that take place in the maxilla and/or the mandible. If this expansion is deficient or missed, the appliance might become loose. If the screw is advanced and an insufficient developmental change has taken place, then the appliance will no longer feel comfortable to fit and wear. The expansion device is not meant to expand the maxilla. It is meant to keep up with the physiologic changes that are happening in the symmetry of the maxilla. This is why Dr. Belfor does not call it an expander but a Morphogenic appliance.
On many Homeoblock patients, we also use an appliance called The Pod. The patient wears the POD for two hours during the day to stimulate the base of the tongue and soft palate and improve TMJ symptoms if applicable.

Frequently Asked Questions:
Am I a candidate for a Homeoblock appliance?The Homeoblock appliance can address:
- Sleep apnea
- TMD/TMJ
- Headaches
- Facial asymmetry
- Bruxism (teeth grinding and clenching)
- Sleep disordered breathing
- Sleep onset insomnia
- Premature aging
- Irritable bowel syndrome
- Lack of Alpha/Delta sleep
- Overactive autonomic nervous system
- SO MANY MORE ITEMS, TOO MANY TO LIST
If you are experiencing one or more of these symptoms, treatment with a Homeoblock may help to reduce or eliminate these symptoms while also improving the overall appearance of your facial structures.

We look at the face.
Is there overall facial symmetry? What are the facial proportions? How close to the “ideal” are the “Golden Proportions” of the face? Is the patient a nasal or mouth-breather? Are there any swallowing habits (i.e. using facial muscles vs. just placing tongue on the roof of their mouth)?
We look at the eyes.
Are the eyes symmetrical? Is the lateral canthus at the same level as medial canthus when viewed from the front? Is the sclera visible below the iris? Is there venous pooling below the lower lids? Is the lower eyelid everted? Almost always, if the eyes are not level prior to treatment, expect some improvement in the intercanthal angle. If the eyes slope downward from the medial to the lateral canthus, they will level out. The corners of the eyes will appear to move upward and level out as remodeling ensues. If, however, the situation is reversed with “cat’s eyes,” where the lateral canthus of each eye is above each medial canthus, they will become more level so that each lateral canthus appears to remodel downward towards a more level plane.
Venous pooling under the lower lids is associated with poor circulation and generally indicates underdevelopment in the naso-maxillary complex. Therefore, treatment with the Homeoblock device will provide some improvement. It is interesting to note the extent of the venous pooling before and after treatment with the Homeoblock. The lower eyelid may appear to be swollen, i.e. bags under the eyes. These “bags” are an accumulation of fat in the peri-orbital space, which sags due to gravity and loss of muscle tone with age. Generally, an improvement may be seen, as the floor of the orbit is the roof of the maxillary air sinus, although it may not be enough to satisfy the patient’s desires. It must be explained to each patient that the results of the Homeoblock treatment are determined by that patient’s genetic make-up. Therefore, each result will be slightly different for each patient based on that patient’s genotype. Some patients will get marked and dramatic results. In other patients, the results will not be quite as dramatic in the face, but they will feel better.


We look at the nose.
Is the frontonasal angle acute or obtuse? From the lateral view, is a dorsal hump visible? From the front, is there any sign of an “allergic salute” with a nasal crease? Is there any evidence of septal deviation? Are the nostrils narrowed, impeding nasal breathing? Are there deep nasolabial grooves around the ala of the nose? Overall, patients’ noses are not straight, and it will be found that, generally, the tip is angled toward, or pointing more toward the underdeveloped side of the face. Realize that the bridge of the nose (the nasal bones) is attached to the cranial base (at the frontonasal sutures) and, as a result, there will be no changes in the bridge of the nose. The tip of the nose, however, can modify as the naso-maxillary region develops. If the tip of the nose points slightly upward, this is usually a favorable sign.

We look at the naso-maxillary complex.
How flat are the cheekbones? Is one orbit at a deeper level than the other on the underdeveloped side of the face? Is the lower eyelid well-supported or do the cheekbones lack prominence? If patients say that they don’t like their lips because their lips are too thin, or if they think that their profile could be improved, or even if they say that their noses are too big, understand that if you expand the maxilla, the naso-maxillary complex comes upward and outward, and widening across the cheekbones occurs. Note that the nose is fixed to the cranial base and does not change much, but the overall result is a smaller relative appearance of the nose.
Most significant is the fact that when the maxillary arch is treated with the Homeoblock appliance, the naso-maxillary complex will remodel and appear to tilt upward. This remodeling has a tendency to support the upper lip and create fullness in the upper lip. Clearly, this change is acting in the opposite direction to the normal aging processes, where the maxilla shrinks backwards and downwards. With the Homeoblock appliance, the naso-maxillary complex will appear to tilt outward also. As a result, understand that the mandible will follow suite. The result is an anterior repositioning of the mandible, which gives the appearance of a stronger, more prominent jaw and a stronger facial appearance.
We look at the mandible.
If patients say that they feel that their lower jaw is too small and not strong enough in appearance, generally speaking, Homeoblock treatment can definitely provide some improvement. The treatment results normally in a strengthening in the appearance of the jaw. In some cases, there appears to be a lengthening of the ramus and an increase in the gonial angle, with an overall better proportioning to the face. This type of result is very pleasing to the patient. Look at the chin region. Is there a “double-chin” with an enlarged submandibular space secondary to obesity or mandibular retrusion? Also note that some Class III patients that appear to have a prominent mandible are treatable with the Homeoblock appliance. In those cases, expect fuller lips, which will be a significant enhancement to facial appearance post-treatment.
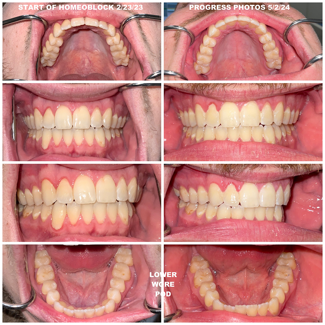
Below are case studies that of patients of Dr. Roca over 12 months of treatment.
Click on each picture and toggle to the right to view the entire case
We look at the mouth.
Are the lips symmetrical? Is the upper lip smaller than the lower lip, or is the lower lip thinner than the upper lip? Look at the smile aesthetics. Are there dark buccal corridors, indicative of a narrow maxillary arch? From the lateral profile, is there a pronounced labiomental groove, indicating a large overjet, overbite or mandibular retrusion? For the upper and lower dentition, is there an increase in vertical height and improvement in the patient’s mid-line with the Homeoblock appliance, when the midlines do not line up? The answer is yes, in some cases. In some cases, there will be an increase in vertical height and improvement in the dental mid-line. But not all cases show an increase in vertical height and improvement in the mid-line. It is important to learn what is attainable with this treatment and what might need to be tweaked with another treatment after completing Homeoblock.
In summary, when evaluating our patients for the Homeoblock treatment, we start by looking at the eyes. We look at their size, shape, position, the intercanthal angle, as well as the lower eyelid and any discoloration below it. We look at the cheekbones. We estimate how prominent the zygomatic bones are. We look at the mouth to assess symmetry, the fullness of the upper lip, the fullness of the lower lip, how level or angled the mouth is and if there is any angular cheilosis. We evaluate the depth of the nasiolabial grooves and see if there is a wide buccal corridor when the patient smiles.
Does the patients’ jaw pop and click? When opening the mouth, do we feel the disc pop out? Does the jaw deviate when opening or slide when closing? Is there pain when palpating the surrounding muscles to the joint? Facial pain? Headaches? Ringing or congestion in the ears? Is one joint working correctly and the other side is not?


We look at the tongue.
Does it fit in the roof of the mouth? Does it have low tone? Is the tongue restricted?
We evaluate the patient’s anatomy.
Does the soft palate vibrate? Is the roof of the mouth narrow or wide? Does the floor of the mouth have tension to palpation or tori? Does the patient have inflamed tonsils? Do the adenoids look enlarged on the CBCT? Can the patient breathe through their nose? Do one or both nasal valves collapse? Are the turbinates swollen? Deviated Septum? Different sized nostrils? Notched nose? Airway like a coffee straw or airway like a garden hose? Posterior and lateral pharyngeal wall collapse?
Does the patient use the chest to breath or the diaphragm? How long can the patient hold their breath? Can they breathe through their nose for longer than 3 minutes? Look at the cervical spine? Do we see normal lordosis? Do we see forward head posture?



We postulate that the Homeoblock treatment protocol addresses all of the above. The external nasal valve is widened as the frontal processes of the maxilla move apart during maxillary morphogenesis. The internal nasal valve is improved along with an increase in mid-face volume. There is more room for the tongue, and the soft palate drops when vertical height is increased due to a 5mm bite block placed on the 2nd bicuspid. The airway at the base of the tongue is increased with tongue exercises. The patient brings the tongue forward through the teeth to the lips while firmly biting on the bite block and breathes in a count of five. Biting on the bite block activates the jaw tongue reflex, which tones the posterior genioglossus. The patient relaxes the jaw muscles and the lips remain together. The patient holds their breath for a count of four and then breathes out for a count of six. Biting on the bite block activates the jaw tongue reflex which contracts the genioglossus at the base of the tongue and widens the airway. As the airway develops in volume, the inflammation is reduced.
This is an example of just a few questions we ask you about your sleep:
- What time do you get tired during the day?
- How many minutes does it take you to fall asleep?
- How many hours, on average, do you sleep a night?
- How many times a night do you get up?
- How many nights a week did you wake up in middle of night?
- How often are you having nightmares?
- Are you having good dreams every night?
- How much sleep medication are you taking to fall asleep?
- How often do you use saline before bed?
- How many nights a week are you congested when you wake up?
- How many nights a week are you congested when you go to sleep?
- Do you always sleep on what side?
- How often a year do you get sick?
- How many bowel movements a day?
Listen below to a 7-hour, three-part video series that will allow you to see the changes that have been made helping patients with Myofunctional therapy, nose breathing, tongue posture, and the POD and Homeoblock treatments. You can click on settings on the video and make it a faster speed to listen to it quicker. Dr. Roca listened to it at two times speed and finished in under five hours. This is the story about a dentist that was treated with the items mentioned above and his patients. The amazing part is it takes you through all we have learned in dentistry and shows you all the excellent mentors Dr. Roca has had on her journey that taught her all the ways she can change your life for the better.



Dr. Roca loves this photo because she has seen changes in all of the colored bones below with the Homeoblock appliance. Patients do not realize that the maxilla is part of the nose and floor of the eyes.

References
- Guilleminault C, Chowduri S., Upper Airway Resistance Syndrome is a Distinct Syndrome; Am.J. Respir. Crit.Care Med.,Volume161,R(5),May 2000 1412-13
- Balbo M, Leproult R,Van Cauter E. Impact of sleep and its disturbances on hypothalamus-pituitary-adrenal axis activity; Int J Endocrinol. 2010;2010:759234.Epub 2010 Jun9
- Bao G,Guilleminault C. Upper airway resistance syndrome—one decade later. Cur Opin Pulm Med. 2004 Nov10(6):461-7
- Yoshida K. Oral device therapy for the upper airway resistance syndrome patient. J. Prosthet. Dent 2002 Apr,87(4):427-30
- Ogunrinde O, Yue H J, Guilleminault C: Upper airway resistance syndrome PCCSU 2011; July, Vol., 25, http//www.chest,org/accp/pccsu/upper.airway.resistance.syndrome.
- Guilleminault C, Poyares D, Palombini L, Koester U, Pelin Z, Black J: Variability of respiratory effort in relation to sleep stages in normal controls and upper airway resistance syndrome patients; Sleep Med. 2001 Sep;2(5):397-405.
- Ishiwata Y et al. Jaw-tongue reflex: afferents, central pathways, and synaptic potentials in hypoglossal motoneurons in the cat. J Dent Res. (2000)
- Ishywata,Y. Hiyama, S etal. Human jaw-tongue reflex as revealed by intraoral surface recording; J Oral Rehabil 1997
- Belfor TR. Singh GD Treating malocclusions and improving orofacial form and function in a Singh GD, Diaz J, Busquets-Vaello C, Belfor Soft tissue facial changes following treatment with a removable orthodontic appliance in adults. Functional Orthodontist, 21(3), 18-23, 2004.
- Singh GD, Diaz J, Busquets-Vaello C, Belfor Soft tissue facial changes following treatment with a removable orthodontic appliance in adults. Functional Orthodontist, 21(3), 18-23, 2004.
- Belfor TR and Singh GD. Developing dental arch symmetry using the Homeoblock device. Int J Orthod. 15(3), 27-30, 2004 J Amer Acad Gnathol Orthop., 2005
“Yes, breathing allows us to hack into our own nervous system, control our immune systems, and restore our health. Yes, changing how you breathe will help you live longer.” – James Nestor, “Breath: The New Science of a Lost Art”
Videos & Podcasts
Podcast interview of Dr. Ted Belfor
Dr. Theodore Belfor: The Homeoblock Appliance. – In this video, Dr Theodore Belfor explains the Homeoblock functional appliance for adults
James Nestor: The Lost Art and Science of Breath.
In this video, James Nestor, a science-adventure journalist with a focus on breath work in floating therapy and freediving, discusses the importance of proper jaw development and controlled nasal breathing.


As a dentist, these two appliances are like apples and oranges and serve very different purposes. I never choose the same appliance for every patient. Not everyone has the same need. You need to look at the chief complaint and the most serious compromise the body is facing. If we want strict expansion, we are going to offer MSE (Maxillary Surgical Expansion), but often, patients don’t want to go with a surgical route as a solution to their concerns. Instead, many patients choose a more conservative, less invasive method that we have found that allows them to achieve a much-needed relief in symptoms. If a patient’s main concern is to help facial symmetry, help cervical instability and help stabilize the autonomic nervous system, plus do what we can to tone the base of the tongue and soft palate and improve sleep apnea and sleep disordered breathing, I would put all my money on the Homeoblock.
Dr. Belfor, the creator of the Homeoblock, believes “In order to get oxygen, your body will sacrifice anything it needs to survive — your teeth (bruxism), your TMJ, your cervical vertebrae…” I think he’s absolutely right. I have seen it with my own eyes that many patients have a stronger side and a less developed side, and when you put the bite block on the weaker side, the body feels more balanced, stronger and less in a sympathetic panic mode.
Many of us tilt our head to one side when standing or sitting, have eyes that are not even, or one ear attached higher on the head than the other ear. The list goes on and on. This asymmetry can be improved with the Homeoblock. When the Homeoblock is worn at night, it allows the body to get a workout on the side that needs the most stimulation. The idea being that, over time, if the patient has more symmetrical forces on both sides of the body instead of the body having a stronger side, the body is tricked into thinking it is in balance and starts working on the weaker side. I have seen this happen with my patients. If we want a tooth borne expander, the message we get from the marketing of the DNA appliance is that it will expand and help tone the airway to help with sleep apnea. We have done that many times with many other appliances that are not nearly as expensive as the DNA appliance.
Although the DNA and Homeoblock appliances have the same patten to reduce TMJ and sleep apnea symptoms, the Homeoblock is not made to expand. It is made to balance the body and, at the same time, develop the bone into a wider maxilla. These are two very different (appliance) beasts.
Dr. Singh, the inventor of the DNA, and Dr Belfor, the inventor of the Homeoblock, have gone their separate ways after achieving their patents. Much more money has been thrown into marketing the DNA appliance, which is why it comes with such a high price tag. It does not mean it is better. Dr. Belfor likes to train his providers himself, whereas Vivos (DNA) trains many at the same time. Dr. Singh likes to call the DNA an expander and Dr Belfor never says the word expander. He calls the Homeoblock a morphogenetic appliance. Dr. Belfor is adamant about the bite block being only on one side, as opposed to the DNA appliance, which has the block on both sides.
In my opinion, with a block on both sides, as in the DNA appliance, it defeats the purpose of the uni-block, as seen in the Homeoblock. The uni-block is allowing the weaker side to catch up to the stronger side and allows the weaker side to grow more bone. I believe the uni-block allows the sutures to loosen up more effectively because the point of the uni-block is to stimulate the bone growth, which happens every time we swallow and our teeth hit the bite block. Dr. Belfor says the idea behind the uni-block was to trick our mouth into thinking we are chewing hard foods every time we swallow while we are sleeping.
Some patients say that they prefer the DNA because they prefer to have the same force on each side of the jaw, so all growth is symmetrical. For me, this is a negative. I fully agree if the patient was symmetrical to begin with, but show me a patient that is symmetrical. Lately, it is very hard to find. Dr. Belfor does not want the teeth all covered. This is his point and it is what makes the Homeoblock different than any other appliance on the market. I have yet to find another appliance that can do what the Homeoblock can do.
I understand that all the epigenetics sounds hokey. I get that all the language is confusing and often it is easier to say it can’t be true when we don’t completely understand. I also had a hard time understanding all the science behind it since genetics is not my forte, but what really made sense without all the fancy words, plain and simple, is this: Your face and mouth have the potential to, at the very least, catch up to the side that is least developed, balancing the sides out. We see this in children every day. They are growing asymmetrical because of oral muscle dysfunction, and when we balance the oral function and teach the correct mouth posture and breathing, they immediately grow symmetrical if we get to them in time, because they are young and still growing. However, with an older patient, after years of imbalance, the sutures are very tight, and it is improbable that the weaker side will catch up to the stronger side. As Dr. Belfor said, the Homeoblock is not magic. You don’t wear it and everything gets better. You need to put in the work to correct the oral dysfunction and correct your oral mouth posture and nasal breathing.
I hope that cleared up some confusion. Both products are great, but they both serve different functions, and like all appliances, both have plus and minus features. You just need to look at each patient’s chief complaint or what the body needs most to be least stressed.
With gratitude,
Lupita M. Roca, DDS

Dr. Roca gives a relaxator to every patient that has a Homeoblock. She recommends that her patients use it every day to help pressurize the airway. It works wonders for getting a good night’s sleep.The Relaxator Breathing Retrainer helps you achieve optimal breathing by stimulating the diaphragm to work properly, thus ensuring that the inhaled air reaches further down in your abdomen. The diaphragm is our most important breathing muscle, and a good diaphragmatic breathing makes the process of breathing efficient.

When you breathe using the Relaxator, you extend the time spent breathing out, which helps your body to relax. Breathing in is an active process in which, among other things, your heart rate increases, whilst breathing out is a passive process, which is linked to relaxation and a lowering of your heart rate. Increased relaxation means you will experience less stress and more harmony. When your body is more relaxed, you function better and can achieve more with less effort.

When we breathe in a way that is not optimal, our body suffers a lack of oxygen. The organs that are most negatively affected include the brain, heart, muscles and eyes. With the Relaxator, the inhaled air ends up in the midriff to a greater extent, which results in increased and more efficient oxygen uptake.
- Set the resistance: Set the resistance of your choice by turning the Relaxator mouthpiece to adjust the vent. There are five levels of resistance. The smaller the opening, the greater the resistance. Five is the heaviest resistance and one is the lightest. The aim is for you to achieve a slow, deep, relaxed and rhythmical breathing, so it is recommended that you increase the resistance slowly and gradually to make sure your breathing stays relaxed.
- Bring the Relaxator to your mouth: Bring the Relaxator to your mouth. Let it rest gently between the lips for greatest relaxation. If possible, refrain from biting it with your teeth since this causes your jaw to tense up and increases the amount of saliva in your mouth.
- Breathe out through the Relaxator: Exhale slowly and calmly through the Relaxator. At exhalation, your abdomen and the lower part of your chest should slowly contract while the upper part of your chest and shoulders remain still.
- Inhale calmly through your nose: Just let the inhalation happen and let the air in. At inhalation, the air passes into your abdominal area. Your abdomen slowly expands while the upper part of your chest and shoulders remain still. The lower part of your chest may expand a little.
Please note that the main focus when using the Relaxator should be on the outbreath since, if we get the exhalation right, a good, low, diaphragmatic inhalation will follow. - Use the Relaxator for fifteen minutes, once or twice a day: Using the Relaxator for fifteen minutes once or twice a day gives good results. There is no limit to how long time it may be used at a time. Some people opt to use it for 1–2 hours a day. An optimal respiration of 8–12 breaths per minute, with 0.5 liters of air per breath is achieved when the resistance is set to 3–4.
Please note that our breathing affects every single aspect of our lives, so if you train too hard in the beginning with the Relaxator, you may experience cleansing reactions. - Maintain a relaxed breathing when training with the Relaxator: Endeavor to maintain a relaxed, non-strained breathing when you use the Relaxator. There is no need to push yourself too hard in order to achieve results. Note how you breathe after having used the Relaxator. If your breathing is relaxed and rhythmic, the Relaxator is set it to a suitable resistance.






Example of a HeartMath device used to test heart rate variability.







